Pulmonary and Respiratory Medicine International Journal (PRMIJ)

Open Access Journal

Frequency: Bi-Monthly

ISSN 2631-0120

Volume : 2 | Issue : 1

Research

Gorham-Stout disease with thoracic, vertebral and pleural involvement: case report and literature review

Federico Isaac Hernández Rocha,1 Alexis Eduardo Higareda Basilio,2 Omar Eduardo Aranda Ruiz2

1Pediatric Pulmonology department. Instituto Nacional de Enfermedades Respiratorias “Ismael Cosío Villegas”, México.
2Pulmonology Department. Hospital General de Mexicali, México.

Received: April 25, 2019 | Published: May 09, 2019

Correspondence: Federico Isaac Hernandez Rocha, Calzada de Tlalpan 4502, BelsarioDominguezSeccion XVI, 14080 Tlalpan, CDMX, Email [email protected]

Citation: Rocha FIH, Basilio AEH, Ruiz OEA. Gorham-Stout disease with thoracic, vertebral and pleural involvement: case report and literature review. Pulm Resp Med Int J. (2019);2(1):11-14. DOI: 10.30881/prmij.00011

Abstract

Gorham-Stout disease, pathology with vascular proliferation, angiomatosis and bone lymphangiomatosis that causes progressive osteolysis and loss of bone mass. Thoracic, pulmonary or pleural affection leads to a compromised respiratory function that can lead to a fatal outcome. The mandibular involvement may lead to the development of obstructive sleep apnea. The etiopathogenesis is currently unknown and occurs sporadically. Since the description of the pathology in 1838, there have been documented more than 200 cases in the literature being 50 of these in pediatric population. We report the case of a 13-year-old patient with Gorham-Stout disease with thoracic, vertebral and pleural involvement.

Keywords: Gorham-Stout disease, lymphangiomatosis, osteolysis.

Introduction

The Gorham-Stout is a rare disease that occurs with vascular proliferation, angiomatosis and bone lymphangiomatosis with progressive osteolysis, and loss of bone mass. Thoracic, pulmonary or pleural involvement leads to a compromise of respiratory function that can end in a fatal outcome.1 Jaw involvement can produce obstructive sleep apnea.2 The etiopathogenesis is currently unknown and occurs sporadically. 50% of patients report a futile trauma before diagnosis.3 Gorham and Stout introduced the term "massive osteolysis" and reported 24 cases in 1955.4 The prognosis is considered benign when only the extremities or pelvic region are involved, however when there are vital structures affected, the prognosis is usually fatal.5 Since the description of the pathology in 1838 by Jackson have not been documented more than 200 cases in the literature, 50 of these in the pediatric population. The knowledge of Gorham Stout disease is currently based on sporadic case reports.1

Presentation of the case

The case involves a 13-year-old male with a history of birth via caesarean section due to premature rupture of the membranes, apparently without complications. He reached appropriate development milestones. The patient showed signs of congenital absence of  right costal arches 5, 6 and 7 with no respiratory involvement. The patient presented with an allergy to cephalosporins.

During a soccer game, the patient suffered a trauma to the thoracolumbar region. It started with pain in the same area, and outpatient treatment was based on NSAIDs with partial improvement. Two days after the incident the patient started with cough of nocturnal predominance, insidious onset, in long accesses, without expectoration, and without apparent trigger. His is evaluated in the ER triage area with clinical examination and X-ray. The relevant data in physical examination includes: thoracic scoliosis with deviation to the right, decreased amplexation, decreased respiratory sounds in right hemithorax region. The patient had pain on palpation in spinous processes T4, T5, T6. The chest x-ray revealed the absence of 5, 6 and 7 right costal arcs with dorsal dextroescoliosis (Figures 1A and 1B). No fever or other clinical data was given, and the patient was discharged with alarming symptoms and Ibuprofen.

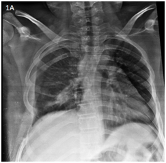
<strong>Figure 1A </strong> Chest X-ray with absence of 5,6 and 7 right costal arcs with dorsal dextroescoliosis.

Figure 1A Chest X-ray with absence of 5,6 and 7 right costal arcs with dorsal dextroescoliosis.

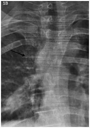
<strong>Figure 1B </strong> T4 listhesis (black arrow).

Figure 1B T4 listhesis (black arrow).

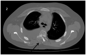
Two days after the in initial emergency room visit, the patient is admitted again with respiratory distress, fever and decreased oximetry by 88%. Because of the acute symptoms and clinical examination, pneumonia is suspected. IV antibiotic its initiated. Because previous the X-ray showed no other data, a computed tomography was performed, and pleural effusion was  confirmed with T4 listhesis (Figures 2-4).

<strong>Figure 2 </strong> Thorax CT scan Axial view. showing T4 listhesis (arrow). Right pleural effusion is observed.

Figure 2 Thorax CT scan Axial view. showing T4 listhesis (arrow). Right pleural effusion is observed.

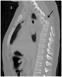
<strong>Figure 3 </strong> Thorax CT scan Sagital view showing T4 listhesis (black arrow).

Figure 3 Thorax CT scan Sagital view showing T4 listhesis (black arrow).

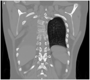
<strong>Figure 4 </strong> Thorax CT scan coronal view. Right pleural effusion and absence of 5, 6 and 7 right costal arcs.

Figure 4 Thorax CT scan coronal view. Right pleural effusion and absence of 5, 6 and 7 right costal arcs.

The laboratory studies initially included blood count, serum electrolytes (sodium, potassium, chloride, phosphorus, calcium), coagulation times and liver function tests, where only elevation of leukocytes with predominance of neutrophils was observed, which were associated with the infectious process. The rest of the laboratory tests were within normal ranges. The study of the pleural fluid showed exudate with Gram negative stain, smear microscopy and negative cultures. Therefore, diagnosis of typical parapneumonic effusion was integrated. It was managed with antibiotic therapy and thoracentesis with evolution towards improvement. During hospitalization, progression of bone lysis was observed in the right scapular region and right rib cage, which is why an approach was made to rule out the possible causes of osteolysis.Laboratory studies included: TSH: 1.071mU / L (T3 and T4 were not performed)Glucose 100mg / dLCD3 lymphocyte subpopulations: 472 / 69.2%CD4: 84 / 12.3% CD8: 306 / 44.8% C4 / CD8 ratio: 0.3 C3 complement: 118C4: 29 IgG: 1620 IgM: 125 IgE: 93.9Anticardiolipin IgM 2.3 MPL u / mL IgG GPL u / mL 4.90Antinuclear antibodies: mitochondria anti JO-1, anti-SCL-70, anti-DNAdc, anticelHEP-2 positiveAntinuclear antibodies DNA: ro. anti-ant9 sm / rnp, anti-JO-1, anti SCL-70, anticentromere negative, paratohormone 10 pg / mL The patient was also assessed by the orthopedic service for the congenital scoliosis,  T4-T5 listhesis and T6 compression of medullary canal (Figure 5). It was managed with sublaminar wiring and placement of Luque bars from T2 to T10 and medullary decompression at the T6 level (Figures 6 and 7). The was discharged after the surgical procedure, without supplementary oxygen and in control by external consultation.

<strong>Figure 5 </strong> Magnetic Resonance Imaging, axial acquisition enhanced in T2. Spinal canal stenosis with spinal cord compression (black arrow).

Figure 5 Magnetic Resonance Imaging, axial acquisition enhanced in T2. Spinal canal stenosis with spinal cord compression (black arrow).

<strong>Figure 6 </strong> 3D tomographic reconstruction showing progression of the disease characterized by absence of right rib cage. A) Anteroposterior view. B) Posteroanterior view.

Figure 6 3D tomographic reconstruction showing progression of the disease characterized by absence of right rib cage. A) Anteroposterior view. B) Posteroanterior view.

<strong>Figure 7 </strong> Presence of osteosynthesis material in the dorsal column for correction of dorsal scoliosis in 3D reconstruction. B) 3D tomographic reconstruction osteosynthesis material used.

Figure 7 Presence of osteosynthesis material in the dorsal column for correction of dorsal scoliosis in 3D reconstruction. B) 3D tomographic reconstruction osteosynthesis material used.

Discussion

Gorham-Stout disease is a rare condition characterized by spontaneous bone resorption. In most cases it occurs in children or young adults without a clear genetic cause. The pathogenesis of this entity is poorly understood, it has been attributed to causes such as alterations in osteoclast cells (Gorham and Stout 1955), osteolysis secondary to angiomatosis (Foul et al., 1995) and multinucleated osteoclasts with hyperactivity in the resorption function(Möller et al., 1999).1 In the case of our patient, we found an unfavorable evolution after a short period of time with the presence of an important pleural effusion in the right hemithorax, integrating with clinical and imaging studies. Cases have been reported in which patients with Gorham syndrome develop pleural effusion as a complication. In some articles, it is related to infections such as pleural tuberculosis, and in others it is said that if the scapula, ribs or thoracic vertebrae are affected, it may result in pleural effusion or chylothorax.1 An approach was initiated to define the origin of this effusion, where all complementary studies to define its origin are negative, such as smear microscopy, Gram stain and cultures of the pleural fluid, reported as exudate. It integrates as a parapneumonic pleural effusion, treating it with antibiotic therapy and thoracentesis, which evolve to improvement. Hu et al.1 reported in 2013 in a review that 10 cases of pleural effusion have been observed, of which 8 had an accompanying chylothorax. On the other hand, McNeil et al.,5 in 1993, describe a case of Gorham syndrome of the chest wall which is complicated by a pleural effusion and vertebral destruction similar to this patient.  Imaging studies in the case described above were very useful to detect the anomaly that influences thinking about the entity, that is, the absence of costal arches. Early radiographic changes consist of intramedullary and subcortical focal radiolucency resembling osteoporosis: concentric reduction of bone density in long bones, followed by complete resorption in severe cases. A typical finding is the lack of sclerosis or osteoblastic reaction. The computed tomography study is of great importance to delimit the extension to soft tissues and search for complications and guided biopsy. 3D tomographic reconstructions have been of great help for the preoperative evaluation by orthopedists as well to observe the evolution in cases of severe bone resorption. In cases of patients with chylothorax it is possible to use lymphangiography to observe the integrity of the thoracic duct. However, this procedure was not performed because chylothorax was ruled out. The lymph nodes and vessels have normal appearance, but may have decreased flow, which is why patients present edema. Angiographic studies rule out the presence of neovascularity in the area studied. Nuclear imaging studies of the bone report normal or discretely increased uptake in the affected areas. Magnetic resonance images show morphological disappearance of the bone as well as hypo/hyperintense areas in enhanced T1 / T2 sequences that may suggest hemorrhage in different stages. The diagnosis is established through the combination of clinical, imaging and histology and excluding neoplastic, endocrinological, and infectious pathology.1 The treatment is currently multidisciplinary. Based on the clinical and pathological findings and radiographic changes, the diagnosis of progressive idiopathic osteolysis is made, after ruling out pathologies that cause secondary osteolysis. Among the possible differential diagnoses to be ruled out are diffuse atrophy, acute inflammatory atrophy associated with trauma, also known as Sudeck's atrophy or algodystrophy, primary or metastatic tumors, hyperparathyroidism, hypothyroidism, congenital pseudoarthrosis, among other pathologies related to said clinic. However, when each of the causes mentioned above is discarded, the diagnosis of massive idiopathic osteolysis known as Gorham-Scout Disease is made. The diagnostic criteria are a positive biopsy, absence of cellular atypia, two or more months with antibiotic without response to or little effect, minimal or no osteolytic response and absence of dystrophic calcification, evidence of progressive bone resorption, non-expansive and non-ulcerative lesions absence of visceral affection, radiographic osteolytic pattern and finally the one that does not meet with hereditary, metabolic, immunological or infectious cause.1 Due to the rarity with which this disease occurs, there is no standardized treatment. Radiotherapy is used, since it helps prevent the progression of the disease and is reported in 77 to 80% at a dose of 30 to 45 Gy, although in pediatric patients there is an elevated risk of developing radiotherapy-induced neoplasms as well as late toxicity.1 Surgical treatment consists of the resection and reconstruction of osteolytic lesions, as well as the treatment of the fracture. In spinal injuries, radiotherapy, clamps (Corset), or halo traction may be initiated.1 Some other treatments, such as pleurectomy, pleurodesis, thoracic duct ligation, are used in patients with chylothorax. In case of an unstable spinal injury, surgical treatment will proceed as it was in the case of this patient.It has been related to obstructive sleep apnea syndrome when there is massive mandibular affection, which responds favorably to the management with continuous positive airway pressure (CPAP), which in this patient was not the case. Our patient was treated with the aforementioned surgical treatment, with sublaminar wiring and placement of Luque bars from T2 to T10 and spinal decompression at the T6 level.

Conclusion

Gorham-Stout disease is a rare pathology that causes progressive osteolysis and loss of bone mass. It is very important to identify thoracic, pulmonary or pleural involvement because it can lead to a compromised respiratory function and a fatal outcome. There is no standard treatment, so it becomes a multidisciplinary pathology.


Copyright© 2019 Rocha et al. This is an open access article distributed under the terms of the Creative Commons Attribution License, which permits unrestricted use, distribution, and reproduction in any medium, provided the original author and source are credited.